
เชื้อไวรัสโควิด-19 สายพันธุ์อัลฟาหรือสายพันธุ์อังกฤษ เป็นสายพันธุ์หลักที่กำลังระบาดหนักในประเทศไทยรอบนี้ ติดต่อกันง่ายมาก เพิ่มจำนวนเชื้ออย่างรวดเร็วในร่างกาย เล่นงานปอดรุนแรงกว่าเชื้อสายพันธุ์เดิมในรอบก่อน บางคนถึงหายป่วยแล้ว ปอดยังเสียหายมาก ต้องใช้เวลานานเป็นหลายๆเดือนหรืออาจเป็นปีกว่าจะดีขึ้น
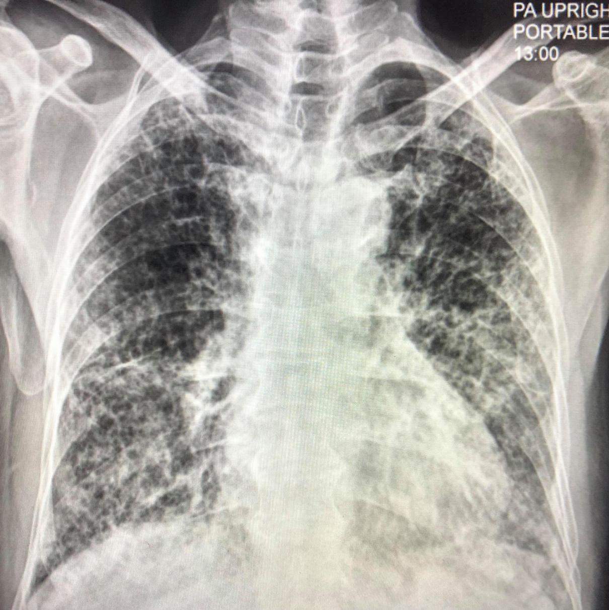
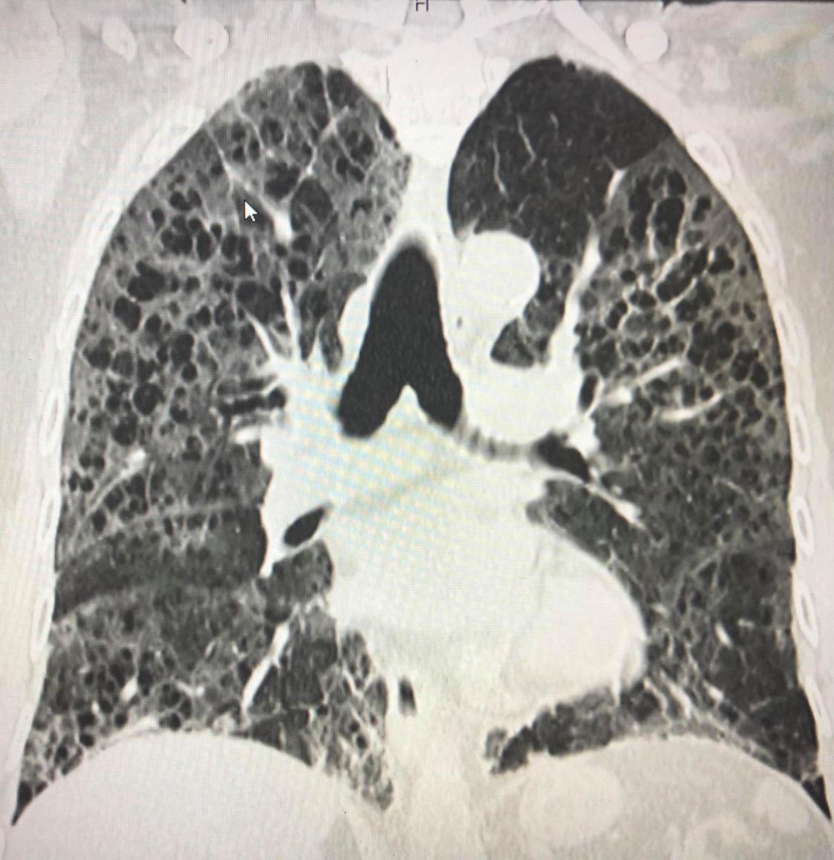
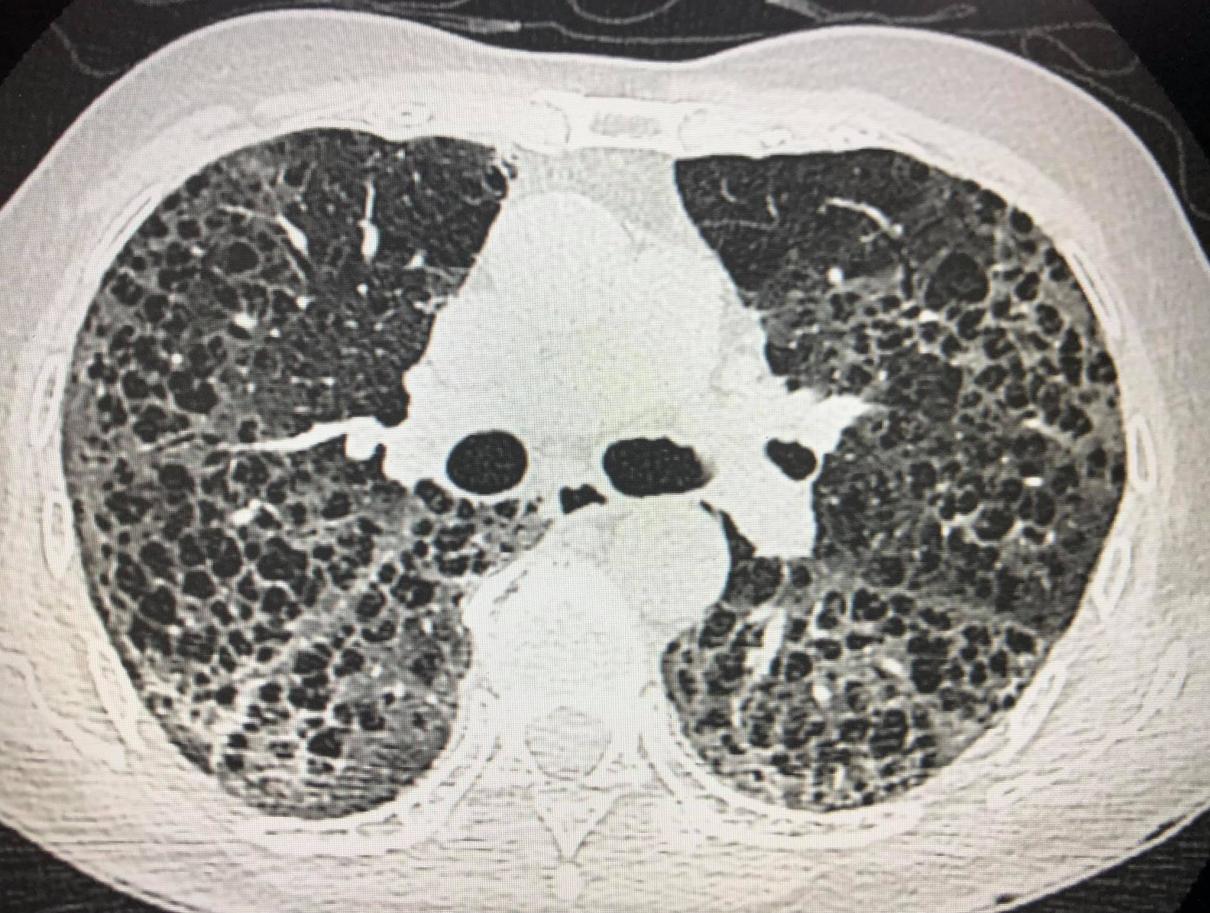
ผู้ป่วยชายไทยอายุ 80 ปี ปกติแข็งแรงดี ไม่มีประวัติป่วยเป็นโรคปอด ไม่สูบบุหรี่ เมื่อวันที่ 16 เมษายน 2564 ป่วยเป็นโรคโควิด-19 โดยลูกเป็นคนนำเชื้อมาให้ผู้ป่วยและคนในครอบครัวรวมทั้งหมด 7 คน เข้านอนรักษาในโรงพยาบาลด้วยปอดอักเสบรุนแรง เอกซเรย์ปอดมีฝ้าขาวทั้ง 2 ข้าง (ดูรูป) ทำคอมพิวเตอร์สแกนปอดพบเนื้อเยื่อปอดอักเสบรุนแรง มีทั้งฝ้าขาว รอยโรคเหมือนร่างแห และลักษณะผิดปกติคล้ายรังผึ้ง กระจายทั่วปอด (ดูรูป) ผู้ป่วยได้รับการรักษาเต็มที่ โชคดีที่ไม่ต้องใส่เครื่องช่วยหายใจ ต้องใช้ออกซิเจนมากถึง 10 ลิตร/นาทีตลอดเวลา นอนในรพ.ถึงวันที่ 22 พฤษภาคม 2564
